4月24日,广州皇家丽肿瘤医院首例钇-90肝癌手术在核医学科成功开展。皇家丽肝癌钇90多学科治疗专家团队陆续为三位肝癌患者顺利实施了经导管肝动脉内注射钇[90Y]树脂微球治疗,三台手术取得完满成功。
牛惠敏主任医师正在注射钇[90Y]树脂微球
我国知名的钇90治疗专家,第一例钇90树脂微球治疗肝癌手术医生牛惠敏主任医师应邀为患者手术。
首位患者是一位71岁肝恶性肿瘤IIIa期老人,经过多学科专家的多轮评估、研讨、会诊,成为皇家丽首例接受钇-90微球治疗患者。
术前影像资料
皇家丽肝癌钇90多学科治疗专家团队由核医学科、微创介入科、肝胆外科、肿瘤外科等多个学科的专家组成。为确保患者治疗安全,曹明溶主任医师、牛惠敏主任医师、刘生主任医师等团队专家做了大量的调研,围绕患者的各项指标开展了多次多学科术前讨论,最终制定了治疗方案。患者术中全程意识清醒、生命体征平稳,目前恢复情况良好。


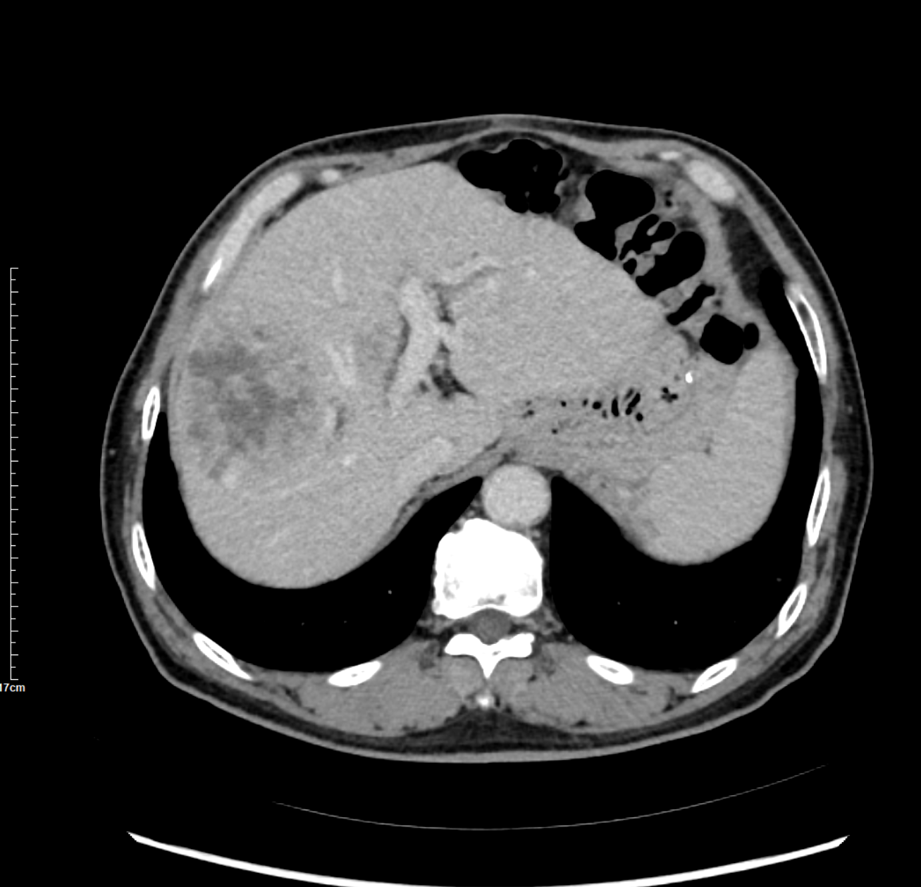
术前:MAA验证,患者符合Y90手术指征

术后:Y90微球在肿瘤内沉积良好

肝恶性肿瘤治疗的“核弹头”
钇90微球选择性内放射治疗(简写为:90Y- SIRT ),其原理就是使用微导管将带有放射性物质钇90的微球注射入肝动脉,微球随血流到达肝脏肿瘤部位,通过释放β射线高效杀灭肿瘤。由于其能量高、放射精准且不损伤周围正常肝组织,对肿瘤自内而外实施精确打击,业内有肝癌治疗精确制导“核武器”美誉。

△钇90技术原理模拟图
钇[90Y]树脂微球已在欧美及亚太地区(包括中国香港和中国台湾)开展过多项高质量、大样本量的临床研究,临床研究证实:
l 钇[90Y]树脂微球显著提高肿瘤反应率,使患者肿瘤缩小、健侧肝叶增生并重获肝切除术机会;
l 显著延长肝脏无进展生存期,增加等待肝移植手术的时间,并提高肿瘤坏死率,降低术后复发风险;
l 此外,钇[90Y]树脂微球与化疗、免疫检查点抑制剂及抗血管生成抑制剂联用可增强疗效,因其副作用较小,患者生活质量较好。
这种国际先进的治疗方法适用于大部分不能手术的中晚期肝癌病例,能够高效控制肿瘤,部分病例可达到治愈效果,部分病例可获得降期作用从而为治愈性手术创造机会。
肝癌钇90多学科治疗中心
目前,广州皇家丽肿瘤医院肝胆外科、微创介入科和核医学科等组建了钇90微球临床治疗肝恶性肿瘤项目的多学科专家团队,医院已获相关的放射治疗许可证,使广州皇家丽肿瘤医院成为全国少数医疗机构可以标准化开展该技术的医院。
肝癌钇90多学科治疗中心将秉承“敬佑生命”的院训,为肝癌晚期患者和转移性肝癌患者,提供精准高效的钇90治疗服务与重获新生的希望。











